Clínica Dental Dra. León Madrid

Dentista especialista en periodoncia Madrid

En nuestra clínica en Madrid, somos expertos en periodoncia, el tratamiento especializado en prevenir y combatir las enfermedades de las encías. Si notas sangrado, inflamación o molestias, es el momento de actuar. ¡Recupera la salud de tu boca con la ayuda de nuestros especialistas en periodoncia!

Diagnóstico

¿Cómo se si tengo problemas periodontales?

El tratamiento de periodoncia es necesario si presentas alguno de estos síntomas:

  • Sangrado de encías al cepillarte o espontáneo.
  • Encías inflamadas, enrojecidas o doloridas.
  • Mal aliento persistente (halitosis).
  • Retracción de encías, que hace que los dientes parezcan más largos.
  • Sensibilidad dental extrema al frío o al calor.
  • Movilidad o separación de los dientes.

Si reconoces alguno de estos signos, es importante que acudas a nuestra clínica en Madrid para una evaluación periodontal y evitar que el problema avance.

Definiendo el problema

¿Qué es la periodoncia y por qué es importante?

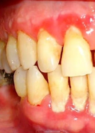
La periodoncia es la rama de la odontología que se encarga de la prevención, diagnóstico y tratamiento de las enfermedades de las encías y los tejidos que sostienen los dientes. Las afecciones periodontales más comunes son:

  • Gingivitis: Inflamación superficial de las encías causada por la acumulación de placa bacteriana. Es reversible si se trata a tiempo.
  • Periodontitis: Una etapa más avanzada que afecta las encías, el hueso y los tejidos de soporte, pudiendo causar la pérdida de dientes si no se controla.

Mantener unas encías sanas no solo es esencial para conservar tus dientes, sino también para tu salud general, ya que las enfermedades periodontales están asociadas con problemas cardiovasculares, diabetes y otras afecciones sistémicas.

Especialista periodoncia Madrid
ejemplo-enfermedad-periodontal
TRATAMIENTOS PERIODONTALES

¿Qué tipos de tratamientos periodontales existen?

1. Limpieza dental profesional (Profilaxis)

  • Descripción: Eliminación de la placa y el sarro acumulado en los dientes.
  • Indicada para: Prevenir gingivitis y mantener encías saludables.
  • Ventajas: Procedimiento rápido, indoloro y preventivo.

2. Raspado y alisado Radicular (Curetaje)

  • Descripción: Limpieza profunda para eliminar el sarro y las bacterias de las bolsas periodontales y alisar las raíces dentales.
  • Indicada para: Pacientes con periodontitis leve o moderada.
  • Ventajas: Reduce la inflamación y evita la progresión de la enfermedad.

3. Cirugía periodontal

  • Descripción: Procedimientos quirúrgicos para reducir las bolsas periodontales, regenerar tejidos o recubrir raíces expuestas.
  • Indicada para: Casos avanzados de periodontitis.
  • Ventajas: Permite recuperar tejidos dañados y prevenir la pérdida dental.

4. Mantenimiento periodontal

  • Descripción: Revisiones y limpiezas periódicas para mantener los resultados del tratamiento periodontal.
  • Indicada para: Pacientes que ya han recibido tratamiento periodontal.
  • Ventajas: Previene recaídas y garantiza una salud bucal a largo plazo.
RESULTADOS FINALES

Resultados que puedes esperar con la periodoncia

Con el tratamiento periodontal adecuado, puedes conseguir:

  • Encías sanas y libres de inflamación.
  • Reducción del sangrado y la sensibilidad.
  • Prevención de la pérdida dental.
  • Mejor salud general, gracias al control de las bacterias bucales.

En nuestra clínica de Madrid, trabajamos para proteger la salud de tus encías y asegurarnos de que tu sonrisa esté siempre en su mejor estado.

¿Por qué elegir la Clínica Dra. León para tratar problemas periodontales?

La Clínica Dental Dra. León cuenta con más de 15 años de experiencia. Estamos muy especializados en todo tipo de tratamientos de periodoncia. Por lo que podemos hacer un diagnóstico y más preciso y actuar en base a los numerosos casos tratados durante estos años.

Anteponer el dinero en tratamientos de salud dental como el de periodoncia no es lo más adecuado, pero tendrás la tranquilidad de que la calidad de nuestro servicio será siempre de máximo nivel, aún contando con precios asequibles dentro del mercado.

Contamos con dos clínicas dentales muy completas en la Comunidad de Madrid. Una en Madrid Capital y otra en Pozuelo de Alarcón, en la zona Oeste de Madrid. Ambas son muy accesibles y podrás elegir la que mejor se adapte en cuanto a cercanía.

Contamos cientos de casos prácticos de pacientes que han realizado su tratamiento en nuestras clínicas dentales, con una satisfacción bastante alta en general. Eso es lo más importante, que podamos solucionar los problemas de nuestros pacientes y mejorar su vida.

EXPERIENCIAS DE PACIENTES

Testimonios de pacientes tratados con periodoncia

Nuestros pacientes han recuperado la salud de sus encías y la confianza en su sonrisa. Estas son algunas de sus experiencias:

  • Juan, 45 años: “Llevaba años con sangrado de encías y pensaba que era normal. Después del curetaje, no solo desaparecieron las molestias, sino que mis encías se ven mucho mejor.”
  • María, 52 años: “Me recomendaron una cirugía periodontal y al principio tenía dudas, pero fue la mejor decisión. Ahora sé que mis dientes están seguros.”
  • Carlos, 38 años: “El mantenimiento periódico me ha ayudado a mantener mi salud bucal impecable. ¡Ojalá lo hubiera hecho antes!”
PREVENCIÓN Y CUIDADOS

Cuidados y recomendaciones para la salud periodontal

Para mantener unas encías sanas y prevenir problemas periodontales, es fundamental:

  1. Mantener una higiene bucal rigurosa: Cepíllate los dientes al menos dos veces al día y usa hilo dental o cepillos interdentales.
  2. Evitar el consumo de tabaco: El tabaco aumenta el riesgo de enfermedades periodontales.
  3. Realizar limpiezas dentales periódicas: Una limpieza profesional al menos cada 6 meses es clave para eliminar la acumulación de sarro.
  4. Controlar enfermedades sistémicas: Como la diabetes, que puede agravar los problemas periodontales.
  5. Acudir a revisiones regulares: Detectar y tratar a tiempo cualquier signo de gingivitis o periodontitis es esencial para evitar complicaciones.
clinica-dental-dra-leon-madrid-tratamientos
paciente-clinica-dental-dra-leon-madrid
PRECIO DEL TRATAMIENTO

¿Qué precio tiene un tratamiento de periodoncia en Madrid?

El coste de los tratamientos de periodoncia puede variar dependiendo de la gravedad del caso, las sesiones necesarias y los procedimientos específicos requeridos.

Aunque buscar opciones económicas puede ser tentador, es fundamental confiar en especialistas en periodoncia para garantizar resultados efectivos y seguros.

Costes aproximados de tratamientos periodontales

  • Consulta y diagnóstico inicial: Entre 50€ y 100€, dependiendo de las pruebas necesarias (radiografías, sondaje periodontal, etc.).
  • Limpieza dental profesional: Desde 50€ hasta 120€, según el estado de la boca.
  • Raspado y alisado radicular: Entre 100€ y 300€ por cuadrante, dependiendo de la profundidad de las bolsas periodontales.
  • Cirugía periodontal: Desde 300€ hasta 1.000€, según el tipo de procedimiento (injertos, regeneración ósea, etc.).
  • Mantenimiento periodontal: Entre 80€ y 150€ por sesión, dependiendo de la frecuencia y complejidad.

¿Qué Incluye el Precio?

  • Evaluación inicial personalizada.
  • Procedimientos realizados con tecnología avanzada.
  • Seguimiento y revisiones periódicas.

En nuestra clínica, ofrecemos opciones de financiación para que puedas acceder a un tratamiento periodontal de calidad sin preocuparte por el coste.

EQUIPO

Nuestra especialista en periodoncia

Dra. Lissette Ibáñez Suárez

Experta en prótesis, prótesis sobre implantes, odontología estética y conservadora, periodoncia, endodoncia y odontopediatría.

Dra. Lissette Ibáñez Suárez

Experta en prótesis, prótesis sobre implantes, odontología estética y conservadora, periodoncia, endodoncia y odontopediatría.

ESTÁS MUY CERCA DE SOLUCIONAR TUS PROBLEMAS DENTALES

¿Hablamos de tu salud dental?

PIDE CITA ONLINE

    • Responsable: CECILIA LEON GARCIA

    • Finalidad: Dar respuesta a las consultas y/o gestión de citas.

    • Legitimación: Consentimiento del interesado.

    • Destinatarios: No se cederán datos a terceros, salvo obligación legal.

    • Derechos: Tiene derecho a acceder, rectificar y suprimir los datos, así como otros derechos, como se explica en la información adicional.