Clínica Dental Dra. León Madrid

Dentista especialista en bruxismo Madrid

Si notas que aprietas o rechinas los dientes con frecuencia, especialmente por la noche, es posible que padezcas bruxismo. Este hábito involuntario puede causar dolor mandibular, desgaste dental y molestias musculares. En nuestra clínica en Madrid, ofrecemos tratamientos personalizados para aliviar los síntomas del bruxismo y proteger tu sonrisa.

Diagnóstico

¿Cuándo necesito un tratamiento para el bruxismo?

El bruxismo puede pasar desapercibido durante mucho tiempo, ya que muchas personas lo padecen mientras duermen. Sin embargo, algunos signos que indican la necesidad de tratamiento son:

  • Dolor o rigidez en la mandíbula al despertar.
  • Desgaste anormal en los dientes o fracturas dentales.
  • Dolores de cabeza frecuentes, especialmente por la mañana.
  • Sensibilidad dental sin causa aparente.
  • Sonidos de rechinamiento de dientes durante la noche (detectados por la pareja o familiares).

 

Si experimentas uno o varios de estos síntomas, es recomendable acudir a una consulta para evaluar tu caso.

Definiendo el problema

¿Qué es el bruxismo y por qué se produce?

El bruxismo es el hábito involuntario de rechinar o apretar los dientes, que suele ocurrir de manera inconsciente, principalmente durante el sueño, aunque también puede darse durante el día.

Causas del bruxismo

  • Estrés y ansiedad.
  • Maloclusión o desalineación dental.
  • Trastornos del sueño.
  • Factores genéticos.
  • Hábitos de vida, como el consumo de cafeína o alcohol.

 

Sin un tratamiento adecuado, el bruxismo puede provocar dolor crónico, desgaste dental severo y problemas en la articulación temporomandibular (ATM).

bruxismo-madrid
maloclusión como causa de bruxismo
TIPOS DE BRUXISMO

¿Qué tipos de bruxismo son comunes?

Existen diferentes formas de bruxismo, y su clasificación se basa en el momento en que ocurre y en su tipo de movimiento:

  • Bruxismo nocturno: Se produce mientras dormimos y suele estar relacionado con trastornos del sueño o estrés. Es difícil de detectar sin ayuda profesional.
  • Bruxismo diurno: Se da mientras estamos despiertos y suele estar asociado a momentos de concentración, ansiedad o tensión emocional.
  • Bruxismo excéntrico (rechinamiento): Se caracteriza por el movimiento repetitivo de los dientes de un lado a otro, generando un desgaste significativo.
  • Bruxismo céntrico (apretamiento): Consiste en una presión excesiva y constante de los dientes sin movimiento lateral, lo que puede causar sobrecarga en la mandíbula y dolor muscular.
TRATAMIENTOS DISPONIBLES

¿Qué tratamientos existen para el bruxismo?

El tratamiento del bruxismo depende de la causa y la severidad del problema. En nuestra clínica ofrecemos diversas soluciones para aliviar sus efectos:

  • Férulas de descarga personalizadas: Diseñadas a medida para evitar el desgaste dental y reducir la presión en la mandíbula durante la noche.
  • Ortodoncia: Para corregir la maloclusión que podría ser la causa del bruxismo.
  • Rehabilitación dental: Restauraciones para reparar los dientes desgastados y devolver la función masticatoria.
  • Terapia con fisioterapia maxilofacial: Técnicas de relajación y ejercicios para reducir la tensión en los músculos mandibulares.
  • Ajuste oclusal: Corrección de la mordida en caso de que una mala alineación dental esté causando el bruxismo.
  • Control del estrés y técnicas de relajación: Métodos como la meditación, la respiración diafragmática o la terapia psicológica pueden ayudar a reducir la tensión que provoca el bruxismo.

Cada caso es único, por lo que realizamos un diagnóstico preciso para recomendar la mejor opción de tratamiento.

¿Por qué elegir la Clínica Dra. León para tratar el bruxismo?

La Clínica Dental Dra. León cuenta con más de 15 años de experiencia. Estamos muy especializados en todo tipo de tratamientos de ATM y bruxismo. Por lo que podemos hacer un diagnóstico y más preciso y actuar en base a los numerosos casos tratados durante estos años.

Anteponer el dinero en tratamientos de salud dental como el del bruxismo no es lo más adecuado, pero tendrás la tranquilidad de que la calidad de nuestro servicio será siempre de máximo nivel, aún contando con precios asequibles dentro del mercado.

Contamos con dos clínicas dentales muy completas en la Comunidad de Madrid. Una en Madrid Capital y otra en Pozuelo de Alarcón, en la zona Oeste de Madrid. Ambas son muy accesibles y podrás elegir la que mejor se adapte en cuanto a cercanía.

Contamos cientos de casos prácticos de pacientes que han realizado su tratamiento en nuestras clínicas dentales, con una satisfacción bastante alta en general. Eso es lo más importante, que podamos solucionar los problemas de nuestros pacientes y mejorar su vida.

EXPERIENCIAS DE PACIENTES

Testimonios de pacientes tratados de bruxismo

Os dejamos algunas experiencias de pacientes que han superado o aliviado problemas de bruxismo:

  • María López: “Sufría de dolor constante en la mandíbula. Gracias al tratamiento con férulas y fisioterapia, mi calidad de vida ha mejorado notablemente.”

PREVENCIÓN Y CUIDADOS

Cuidados y recomendaciones para prevenir o controlar el bruxismo

Además del tratamiento profesional, es importante adoptar ciertos hábitos para minimizar los efectos del bruxismo:

  • Evita el estrés: Prácticas como el yoga, la meditación y la terapia psicológica pueden ayudarte a reducir la tensión emocional.
  • Evita la cafeína y el alcohol en la noche: Estas sustancias pueden aumentar la actividad muscular involuntaria durante el sueño.
  • Mantén una correcta higiene postural: Una mala postura puede generar tensiones musculares en la mandíbula.
  • Haz ejercicios de relajación mandibular: Masajes y estiramientos pueden aliviar la tensión acumulada.
  • Usa la férula de descarga si ha sido indicada: Su uso constante protege los dientes y evita daños mayores.
clinica-dental-dra-leon-madrid-tratamientos
bruxismo-ferula-descarga-michigan-madrid
PRECIO DEL TRATAMIENTO

¿Cuál es el precio aproximado de los tratamientos de bruxismo en Madrid?

El coste de los tratamientos para el bruxismo varía en función de la gravedad del problema y el tipo de solución necesaria. Factores como la personalización de las férulas, la necesidad de rehabilitación dental o la combinación con fisioterapia pueden influir en el precio final.

Aquí te ofrecemos una orientación de precios aproximados en nuestra clínica:

  • Consulta y diagnóstico inicial: Entre 50€ y 150€, incluyendo exploración clínica y pruebas de mordida.
  • Férula de descarga personalizada: Entre 300€ y 800€, dependiendo del material y la tecnología empleada en su fabricación.
  • Sesiones de fisioterapia maxilofacial: Entre 40€ y 70€ por sesión.
  • Rehabilitación dental por desgaste: Desde 150€ por diente, dependiendo del material de restauración.

Facilidades de pago: Ofrecemos opciones de financiación para que puedas acceder al tratamiento sin preocupaciones económicas.

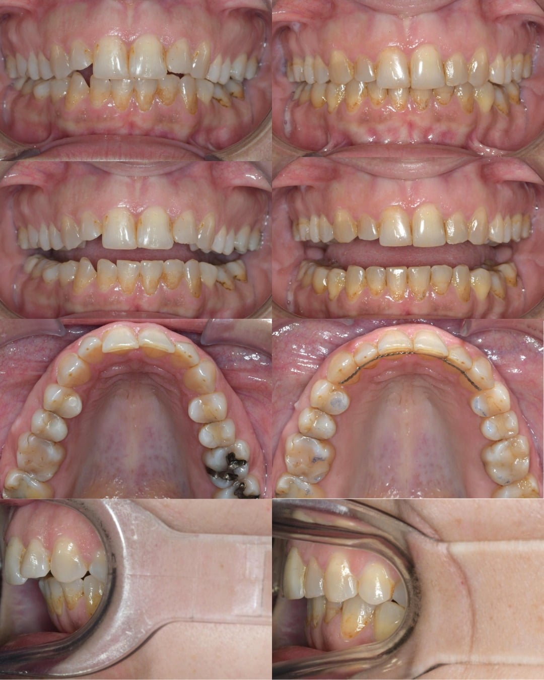
CASOS DE ÉXITO DE BRUXISMO

Caso clínico de bruxismo realizado en nuestra clínica dental de Madrid

Os mostramos antes y después de este caso clínico, en el cual realizamos tratamiento de bruxismo para solucionar el problema original. Para resolver el problema estético llevamos a cabo tratamientos de ortodoncia invisible y carillas dentales.

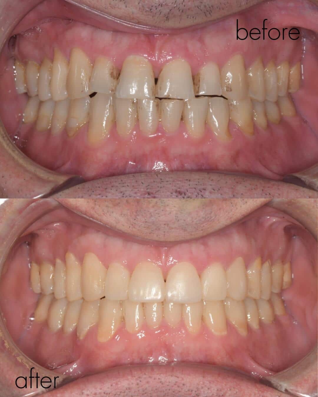
CASOS DE ÉXITO DE BRUXISMO

Caso clínico de bruxismo con resalte aumentado clase 2

Os mostramos antes y después de este caso clínico de bruxismo. En este caso el paciente tenía un problema de ortodoncia de resalte aumentado de clase 2, el cual solucionamos mediante ortodoncia invisible.

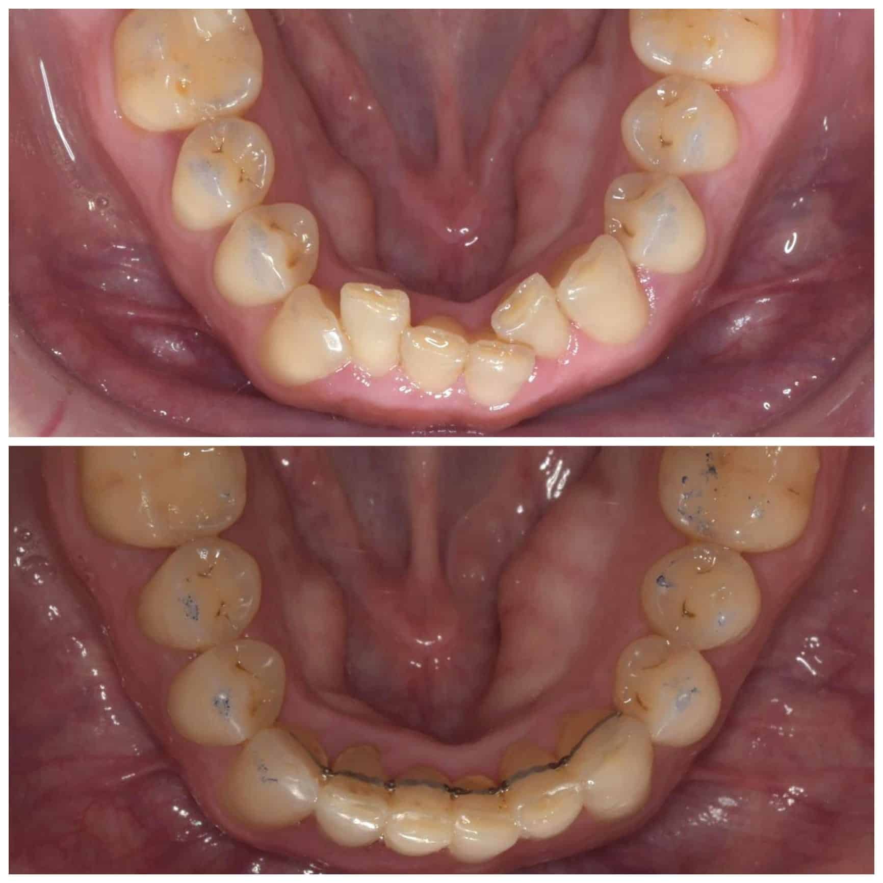
CASOS DE ÉXITO DE BRUXISMO

Caso clínico de bruxismo solucionado, tanto a nivel funcional como a nivel estético

Os enseñamos como llegan nuestros pacientes que padecen de bruxismo a nuestra clínica y como salen. Para empezar, estudiamos el origen del bruxismo, y ponemos una solución efectiva.

Este es un caso con mordida borde a borde, donde al estar en contacto directo los bordes incisales de los dientes superiores e inferiores, se favorecía el desgaste dentario.


Se corrigió la mordida borde a borde creando un resalte fisiológico con ortodoncia con alineadores invisibles, lo cual disminuyó el bruxismo y se restauraron posteriormente los bordes desgastados con carillas.

 

¿Te atreves tu también a ponerle solución?

Foto antes y después bruxismo Madrid
EQUIPO

Nuestra especialista en bruxismo en Madrid

Dra. Cecilia León

Especialista ATM

Dra. Cecilia León

Experta en Disfunciones de la ATM y Ortodoncia
ESTÁS MUY CERCA DE SOLUCIONAR TUS PROBLEMAS DENTALES

¿Hablamos de tu salud dental?

PIDE CITA ONLINE

    • Responsable: CECILIA LEON GARCIA

    • Finalidad: Dar respuesta a las consultas y/o gestión de citas.

    • Legitimación: Consentimiento del interesado.

    • Destinatarios: No se cederán datos a terceros, salvo obligación legal.

    • Derechos: Tiene derecho a acceder, rectificar y suprimir los datos, así como otros derechos, como se explica en la información adicional.